Dear Colleagues
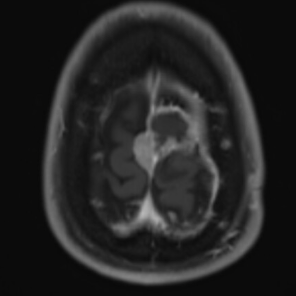
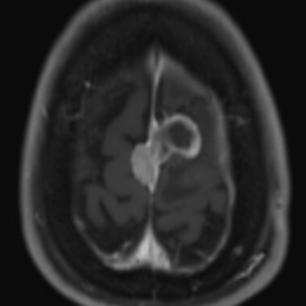
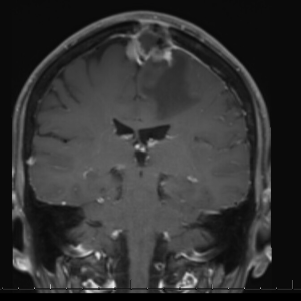
A 52 yo lady has a progression of residual disease after partial resection 5 months ago of a grade II meningioma of the falx. Unfortunately, at that time the patient did not accept treatment.
I would propose irradiating with FSRT the whole cavity and boosting with SRT the macroscopic disease. Would you share this opinion?
Would you go for further surgery?
The patient already reported partial lower limb palsy after the first operation
Thank a lot for your kind help
Comments
     
    
D
If not, and I suspect as much, given 5 months time to progression, then I would take the GTV and the surgical bed plus a 3 mm margin into brain tissue as CTV60/PTV60 (60 Gy in 30) then boost GTV residual +PTV with 6 Gy in 3 frx or 10 Gy in 5 frx depending what your comfortable with. Our data that will be presented and in submission suggests 66 in 33 or 70 Gy in 35 to result in better long term outcomes when residual vs 60 Gy in 30. I do sequential boost but you could SIB also. When volumes of residual are large I SIB otherwise I do the boost sequentially and a week or two gap using the Gamma Knife Icon. I would not single frx boost but fractionate the boost.
G
I also am pro sequential boost.